2025年 03月 31日
池上彰のSTEAM教育革新という番組に加藤学園初等科が取り上げられておりました。この学校はAIやロボット工学など最先端の教育を取り入れているため、静岡東部の中でも稀有な教育方針の学校です。今回、こちらの番組でAIについて小学5年生の子どもたちが議論をしていました。
その中でポイントとなるのは
1. 「使う力」と「考える力」のバランス
AIに頼りすぎると、自分で考える力が弱くなるという懸念があります。でも、使い方をきちんと教えれば、AIは「調べる」「整理する」「アイディアを広げる」などの強力なツールになります。子どもたちには「AIをどう使えばよりよく学べるか」を教えていくことが大切ですね。
2. 情報の正しさを見極める力
AIは時に間違った情報を出すこともあるので、「これが正しいのか?」と疑問を持つ批判的思考力(クリティカルシンキング)も同時に育てる必要があります。
今回は発表していた女生徒さんが中学入試をAIに解かせてみたところ75%の正答率だったとか、AIにもまだ不向きなものはありそうですね。
3. 人間にしかできないことの重視
こちらも番組の中で議論されてましたが、AIにある感情とは感情なのか?感情、倫理、創造性など、人間にしかできない部分の大切さを改めて認識し、「AIにはできない価値を育てる教育」もこれからもっと注目されそうです。
ということであり、AIを使うことの是非が色々な場面で問われていました。
本当に時代はどんどん移り変わって行きますね。。。
さて、本題に入りましょう
今回は超音波の使い方について神経ブロック以外にも説明します。
超音波(エコー)の使用は整形外科領域には年々広がっており、関節内に対する評価・治療にも非常に有用です。以下に「関節内に対する整形超音波の使い方」について、ポイントを整理してご紹介します。
関節内での超音波の使い方:基本的な考え方
1. 診断目的
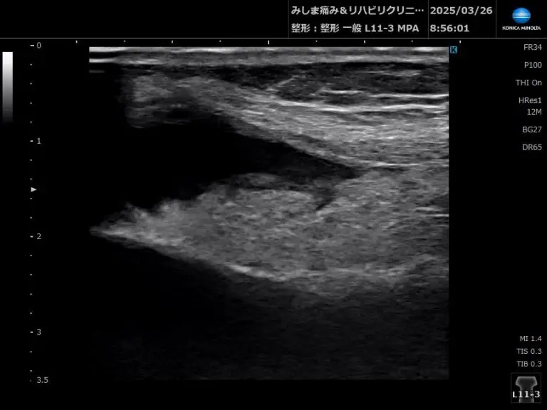
- **関節内液(関節水腫)**の確認
→ 滑膜炎や感染、外傷後の炎症などで関節液が貯留します。
→ 関節腔が広がり、低エコー域(黒っぽい)が認められます。

膝の膝蓋上納への水腫
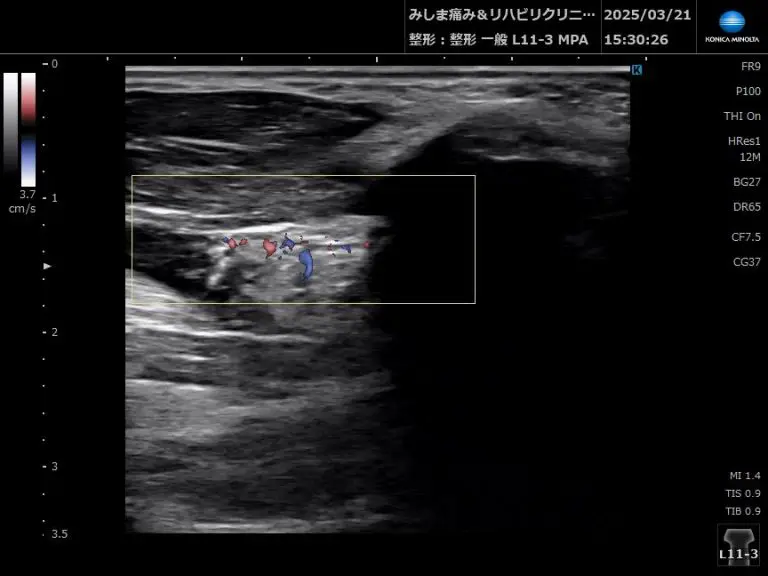
- 滑膜肥厚・滑膜炎の評価
→ リウマチ性疾患などで滑膜が肥厚。ドプラーモードで血流評価も可能。
- 炎症の有無をチェック
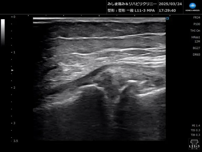
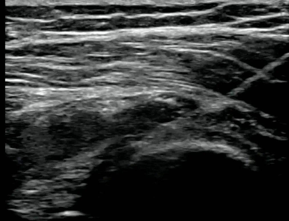
- 関節内構造の変性・破壊のチェック
→ 関節裂隙の狭小化や関節内の骨棘(骨化)などの変化。
- 半月板と骨棘をチェック
2. 治療目的:関節内注射のガイド
- エコーガイド下関節内注射
→ 安全・確実に関節内に薬液を注入できます。
→ 解剖学的ランドマークが不明瞭な場合や、肥満例でも有用。
✔代表的な部位
部位 | アプローチ例 |
|---|---|
肩関節(肩甲上腕関節) | 後方アプローチが一般的 |
肘関節 | 後外側アプローチなど |
膝関節 | 内側・外側・上方滑液包からのアプローチ |
股関節 | 前方アプローチが主流 |
足関節 | 前方(前脛骨筋腱内側)から |

肩関節内 へ注射
当院では安全かつ正確に上記すべての関節内に注入します。
超音波はレントゲンでは見えないものがたくさん見えます。靭帯や筋肉の損傷などは間違いなく超音波で診断すべきです。そちらはまた別の機会に。
治療だけではなく、診断にも使用できる
やはり、超音波は絶大ですね!


.jpeg&w=3840&q=75)
