2025年 07月 28日
昨日は沼津の花火大会でした。
人混みは苦手ですが、夏の風物詩はいいものですね!
沼津の花火大会は実は初めてなんですが、屋台かなりたくさん出て、活気があって楽しかったです。

さて
学会は発表する場であると同時、他の先生方の発表をもとに学ぶ場でもあります。
今回の学会で一番勉強になったのは
シンポジウムの私ならこうする『エコーガイド下ブロックどこまでできるか』で朴先生の発表された方法の頸椎椎間孔ブロックです。この方法は本当に色々気付かされました。
頸部神経根のアプローチ方法として革命的なアプローチ方法であるということです。でも言われてみればそうだよな!!というなんで気が付かなかったんだというところがあるのです。
まず、頸部神経根ブロックについてご説明いたします。
頸部神経根ブロックは、首の神経から出ている神経根に直接薬剤(主に局所麻酔薬やステロイド)を注射して、首や肩、腕に放散する痛みを和らげる治療法です。
目的
頸椎椎間板ヘルニアや頸椎症などで神経根が圧迫されると、首から肩、腕、指先にかけてしびれや痛みが生じることがあります。このような神経根性疼痛の軽減を目的として行います。
方法
- X線透視(透視下)や超音波(エコー)を使って、安全に神経の位置を確認 今回は超音波エコーでの方法です
- 神経根の近くに針を刺し、局所麻酔薬やステロイドを注入。
- 処置自体は数分で終わりますが、安静観察のために30分〜1時間ほどクリニックに滞在することが多いです。
従来のエコーでの神経根ブロックは以前私もこちらのブログでご紹介した通り、神経根を骨の形を目印として見つけて神経の周りに注射をします。ただそれだと中枢部まで届いていない可能性があるのです。
そこで、今回発表された方法は前方アプローチ系椎間孔アプローチです
この方法では、朴先生曰く神経根だけの描出にとどまらず、脊柱管内の造影までされたということでとても効果的な方法である可能性が高いです。
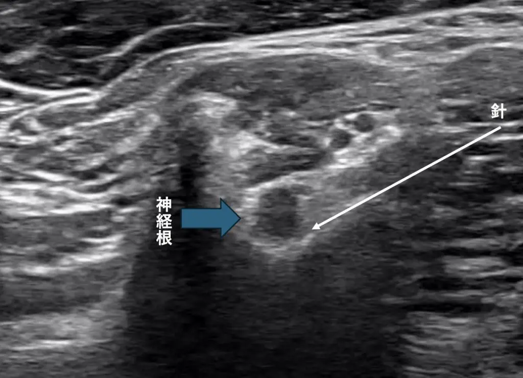
従来はこのように神経の同定をして神経ブロックをしていました。


このように、黄色で記されている神経根の隣には赤で記された椎骨動脈が隣接し、しっかりと同定しなければ結構危険な手技ではあります。
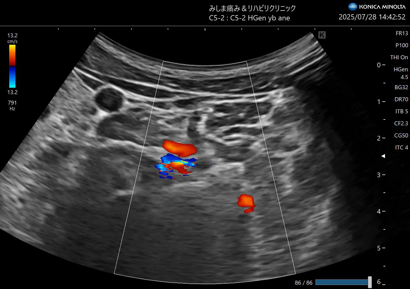
朴法はこのレベルから少し頭側にエコープローブを移動します。そうすることで後結節という骨が消えて前面に椎骨動脈、後面(背側)に神経根というビューとなります。

ではこれをエコーでしてみるとどうなるかということですが、なかなか難易度が高い

脊髄に入っていく神経根とその隣にある椎骨動脈を確認します。
ただ、針を持っていくのは少し熟練が必要です。
このように、エコーで見えるものが日々進化していくなかで、取り残されないように日々の勉強が必要ですね!


.jpeg&w=3840&q=75)
