2024年 11月 17日
皆様こんにちは!
さてさて、ついに当院にも対外衝撃波を購入いたしました。
拡散型対外衝撃波(Radial Extracorporeal Shock Wave Therapy, ESWT)は、医療およびリハビリテーション分野で使用される治療法の一つです。この方法は、振動波を体外から特定の部位に送ることで、痛みの軽減や組織の回復を促進する効果があります。特に整形外科やスポーツ医学の分野で注目されています。
急性期の炎症がある病態には使えませんが、慢性化してしまった腱や石灰化している肩などにとても有効です。
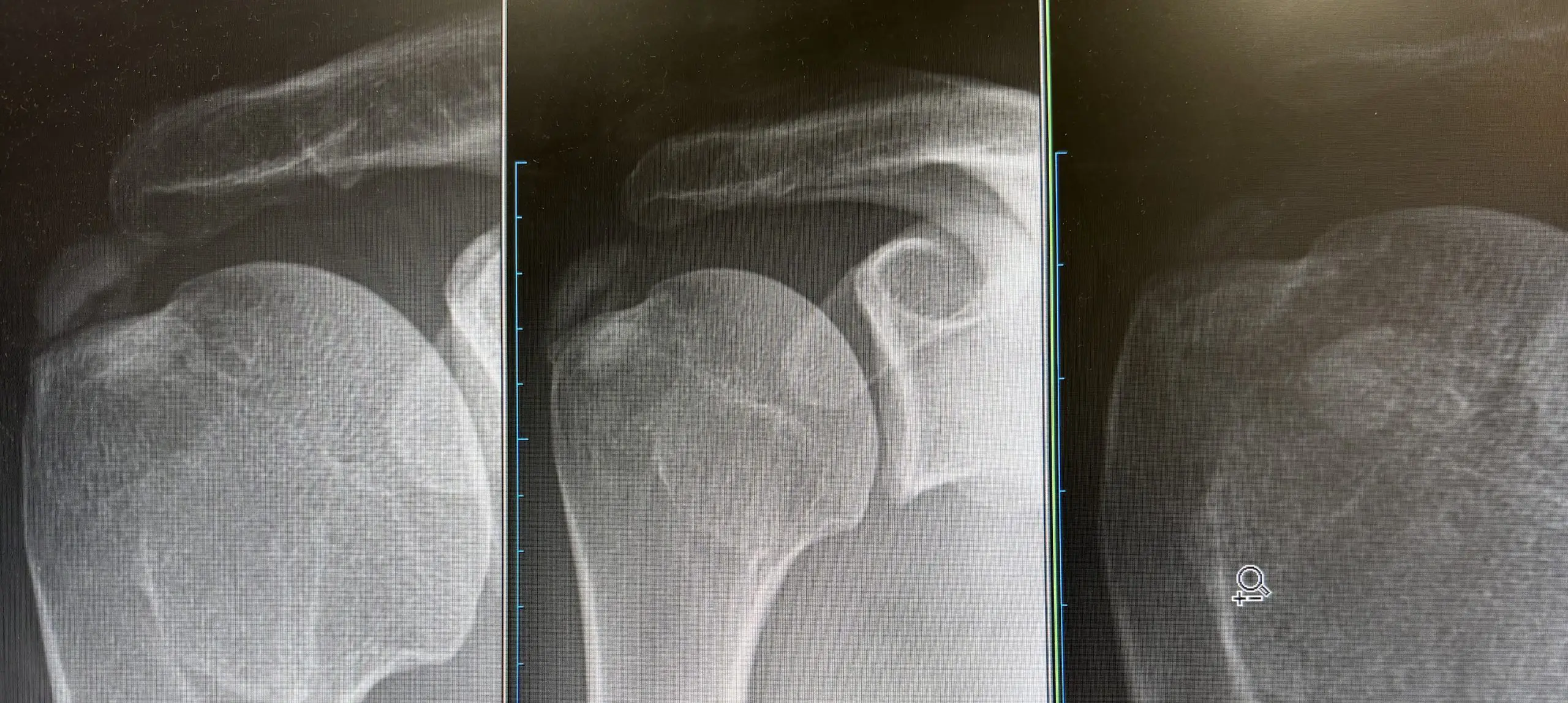
早速当院で肩関節の石灰化のある方に拡散型対外衝撃波を行ってみたところ、こんなに明らかに石灰がなくなりおったまげました。
1枚目は未治療、二枚目はパンピング後、三枚目は対外衝撃波後 パンピングは針を刺して石灰を壊して石灰を水圧で吸い上げる方法ですが、かなり残ってしまいました。それに対し体外衝撃波はではほとんど石灰は残りませんでした。

痛みももちろん無くなっています。ある文献では、肩の石灰性鍵盤炎にはこんなにも効果があるようです!ほぼ100%ですよね!

他にもこんなに多くの疾患に適応があります
適応症
- 腱炎(テニス肘、ゴルフ肘など)
- 足底筋膜炎(足の裏の痛み)
- アキレス腱炎
- 肩の石灰性腱炎
- 膝蓋腱炎(ジャンパー膝)
- シンスプリント
- 疲労骨折
などなど、ただし急性期の炎症が強い場合は除きます。
治療の流れ
- 診断
私含め医師が痛みのある部位や状態を評価し、適切な治療計画を立てます。その際、エコーは必須です!正直エコーを使用しないで軟部組織の異常を語っている医師を基本できに信用してません。 - 施術
ESWTを使い、理学療法士が患者の痛みのある部位に衝撃波を当てます。治療は通常5〜10分程度で完了します。 - 再診察
治療後再度医師の元で診察を受けます。場合によっては2、3回治療が必要となります。
ではなぜ、そのような効果があるのか
1. 血流促進
衝撃波が血管や微小循環系に刺激を与えることで、血流が促進されます。これにより、以下のような効果があります
- 酸素供給の向上: 血液循環が改善され、組織に必要な酸素や栄養が行き渡るようになります。
- 老廃物の排出促進: 血流の改善により、炎症の原因となる老廃物や代謝産物が効率的に排出されます。
2. 血管新生
rESWTは、微小血管の新生(angiogenesis)を刺激します。これにより、損傷した組織の周囲に新しい血管が形成され、修復が進むメカニズムが働きます。
- プロスタグランジンやNO(窒素酸化物)の分泌: 衝撃波が血管内皮細胞を刺激し、これらの成分の生成を増加させることで血管新生が起こります。
3. コラーゲン産生の促進
コラーゲンは組織修復において重要な役割を果たします。衝撃波による刺激は、コラーゲンの再生を促進します。
- 繊維芽細胞の活性化: 繊維芽細胞(コラーゲン生成細胞)が刺激を受け、損傷部位でのコラーゲン生成が促されます。
- 結合組織のリモデリング: 新しいコラーゲン線維の形成とともに、組織が再編されて機能が回復します。
4. 神経反応と疼痛抑制
ESWTには、神経系への影響を通じて疼痛を軽減する効果があります。
- C線維やAδ線維への作用: 痛みを感知する神経線維が一時的に抑制され、疼痛の信号が減少します。
- 内因性オピオイドの分泌促進: 衝撃波により、脳や脊髄で内因性の鎮痛物質(エンドルフィンなど)が分泌され、痛みを抑える働きが強化されます。
- 脊髄後角での痛覚ゲートコントロール: 衝撃波が痛みの伝達経路を一部遮断することで、疼痛が和らぎます。
5. 炎症抑制
ESWTは、慢性炎症を鎮静化する働きがあります。
- マクロファージの活性化: 免疫細胞であるマクロファージが刺激を受け、炎症因子の分解を促します。
- 炎症性サイトカインの減少: 衝撃波は、IL-1βやTNF-αといった炎症性サイトカインの放出を減少させ、炎症の抑制に寄与します。
6. カルシウム沈着物の分解
衝撃波は、石灰性腱炎やカルシウム沈着物の溶解にも効果的です。
- 衝撃波がカルシウム沈着物を微細化し、血流に乗って体外へ排出されやすくします。これが、一番初めに出した石灰化鍵盤炎の例です
7. 筋肉および筋膜の弛緩
- 筋膜トリガーポイントへの作用: 筋膜の緊張を解消し、筋肉の柔軟性を回復します。
- 血流とリンパ液の循環改善: 筋肉の硬結がほぐれ、全体的な循環が良くなります。
8. 細胞レベルの影響
最近の研究では、rESWTが細胞レベルで次のような効果をもたらすことが示唆されています:
- 幹細胞の動員: 衝撃波が幹細胞の活性化を促し、損傷部位での再生を助けます。
- 酸化ストレスの軽減: 衝撃波は抗酸化作用を高め、細胞ダメージを軽減します。
このように多くの効果があるESWTをぜひ一度体験してみてはいかがでしょうか?


.jpeg&w=3840&q=75)
